脾臓のしこり(偶発的に見つかるのに命に関わる病気)
お腹の調子が悪いとのことで当院を受診されたワンちゃん。
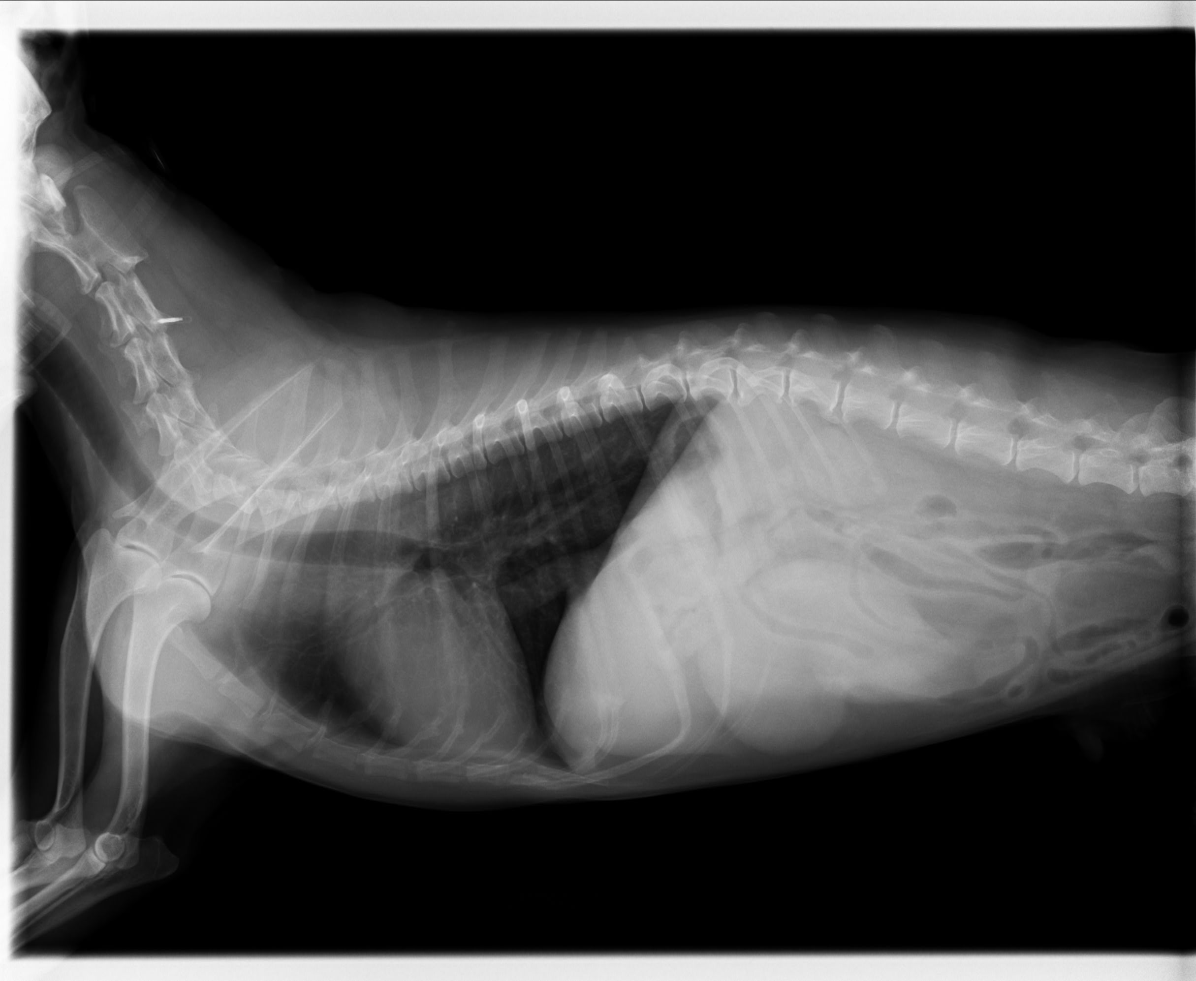
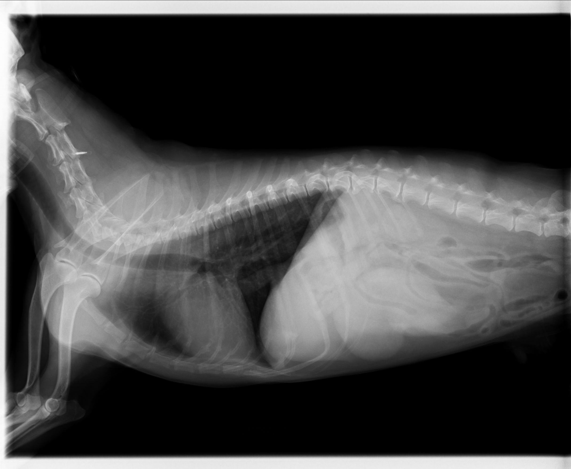
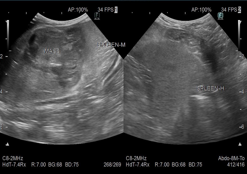
身体検査をしてみると体温が39.6℃と高体温になっていたので、腹膜炎を疑い画像検査をしてみました。
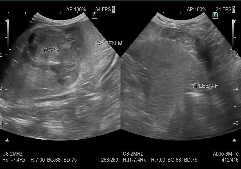
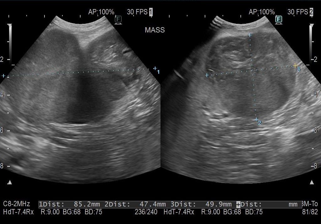
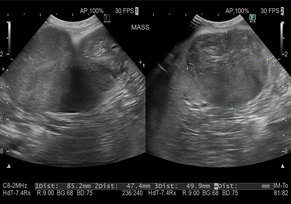
レントゲン検査、超音波検査にて脾臓に大きなしこりが見つかりました。
(今回の胃腸障害・発熱は、脾臓のしこりが小破裂をしたところにお腹の中の脂肪が癒着したため炎症が起きて腹膜炎に繋がったためと推測されました)
このワンちゃんは、内科治療で腹膜炎を治療し、一般状態が良くなった状態で脾臓の摘出手術を行いました。

お腹を開けて脾臓を確認してみると、やはり腹腔内の脂肪(大網)が広範囲に癒着していました。
癒着は無理に剥がさず、必要のない脂肪を切除しながら脾臓を全摘出しました。(脾臓は無くなったとしても元気に生活できます)
摘出した脾臓です。
表と裏に大きなしこりを形成していました。
破裂した部分に脂肪が癒着して大出血を防いでいたようです。おかげで致命傷にならずに済んだのかもしれません。
病理組織検査を行ってもらったところ、結節性過形成(腫瘍ではない)でしたので、摘出した後は問題ないとのことでした。
(病理組織検査の結果が悪性の腫瘍であった場合には、その後の治療を考えていく必要があります)
脾臓のしこり(腫瘤)は、形成されてもほとんどの場合症状がありません。
症状が出るのはしこりがお腹の中で破裂した時で、腹腔内に多量に出血を起こして命に関わる状態になってしまいます。
破裂する前に発見されるのは、健康診断やお腹の調子が悪い際の画像検査で偶然見つかることがほとんどです。
大切なのは早期発見です。
5~6歳ぐらいになりましたら、ワンちゃんネコちゃんドック等の健康診断をお勧めします。
投稿者プロフィール

最新の投稿
お知らせ2025年11月3日オンライン順番アプリ(ペット手帳)の不具合について(2025年11月3日9時現在)
ドクター2025年2月9日痛くてご飯が食べられない。。~歯周病が原因の口腔粘膜炎~
ドクター2025年1月8日糖尿病 ~早期の診断・治療が大切~
ドクター2024年12月10日脾臓のしこり(偶発的に見つかるのに命に関わる病気)
タグ一覧
- RECOVER CPR
- SFTS
- おしっこの回数が増える
- お知らせ
- かゆい
- しこり
- しつけ
- ふけ
- ぶどう膜炎
- アトピー
- アニクリ24
- アレルギー
- オンライン予約について
- ケア
- ケンカ
- ゴールデン・レトリーバー
- シニア犬に多い病気
- シー・ズー
- ズーノーシス
- チワワ
- トイ・プードル
- ノミ
- フレンチブルドッグ
- フード
- ヘビ咬傷
- ポメラニアン
- マダニ
- マラセチア
- ミニチュア・シュナウザー
- ミニチュア・ダックスフンド
- ヨークシャー・テリア
- ワクチン
- 下痢
- 不整脈
- 予防
- 会陰ヘルニア
- 便が出ない
- 健康チェック
- 健康診断
- 僧帽弁閉鎖不全症
- 内視鏡下バルーンダイレーション
- 副腎皮質機能低下症
- 口を痛がる
- 口唇粘膜炎
- 口臭が強くなる
- 咳
- 嘔吐
- 変形性関節症
- 多飲多尿
- 夜間緊急診療
- 子犬
- 子猫
- 徘徊
- 心筋症
- 心肺蘇生
- 応急処置
- 性格の変化
- 怪我
- 愛玩動物看護師
- 感染症予防
- 慢性腎臓病
- 救急
- 散歩を嫌がる
- 柴犬
- 栄養管理
- 歯が抜ける
- 歯のケア
- 歯周病
- 毛玉
- 気管支炎
- 気管虚脱
- 水をよく飲む
- 治らない
- 爪とぎ
- 犬
- 猫
- 生活習慣
- 症状
- 白内障
- 皮膚検査
- 皮膚炎
- 目が見えない
- 目をこする
- 眼球摘出術
- 睡眠
- 研修プログラム
- 社会化
- 糖尿病
- 緑内障
- 脱毛
- 脾臓
- 腫瘍
- 診療科
- 認知症
- 誤飲誤食
- 足を引きずる
- 食中毒
- 食欲が落ちる
- 食欲旺盛なのに体重が減る
- 食道狭窄
- 黒目が白っぽくにごる




